Case Report
A Chronicle of Survival: A Case Study of Chediak Higashi Syndrome with Good Outcome in Pakistan
Authors: Naima Cheema* and Husam Jamil
Publication Date: 13 September, 2024
DOI:
https://doi.org/10.51219/MCCRJ/Naima-Cheema/127
Citation:
Cheema N, Jamil H. A Chronicle of Survival: A Case Study of Chediak Higashi Syndrome with Good Outcome in Pakistan. Medi Clin Case Rep J 2024;2(3):472-474.
Copyright:© 2024 Cheema N, et al., This is an open-access article distributed under the terms of the Creative Commons Attribution License, which permits unrestricted use, distribution, and reproduction in any medium, provided the original author and source are credited.
View : PDF
Abstract
Chediak higashi syndrome is a unique hereditary disorder characterized by
oculocutaneous albinism, mild coagulation defects, progressive neurological
deficit, and an immense risk of developing hemophagocytic lymphohistiocytosis (hlh).
On that account, we report a case of a three-year-old child with chediak
higashi syndome in rawalpindi, pakistan. The diagnosis was established based on
the congregation of classical symptoms: ocular and cutaneous hypopigmentation,
repetitive infections, bleeding diathesis, and the pathognomic presence of
giant granules in white blood cells.
Though the prognosis of this disease is poor in the accelerated phase
with a high mortality rate, our patient upon timely diagnosis and hematopoietic
stem cell transplantation is living a healthy life now at the age of four
years
Keywords: chediak higashi
syndrome; hypopigmentation; bleeding diathesis; hemophagocytic
Introduction
Chediak higashi syndrome is a rare autosomal recessive
disorder with fewer than 500 cases reported throughout the world over the last
two decades1. In our literature
review, only 15 cases have been reported in pakistan to date among whom 7 died
during their first hospital admission. It is caused by a defect in the
lysosomal trafficking regulator gene lyst/chs1, leading to abnormal protein and
vesicle formation in all granule-containing cells of the body2. The syndrome is characterized by a triad of
oculocutaneous albinism, increased susceptibility to infections, and
coagulation defects3. A vast majority
of patients with chediak higashi syndrome develop an accelerated phase, named
hemophagocytic lymphohistiocytosis manifesting in the form of high-grade fever,
hepatosplenomegaly, pancytopenia and lymphohistiocytic infiltration of spleen,
liver and lymph nodes4. The presence
of giant cytoplasmic granules in white blood cells along with regularly
distributed clumped melanin along the entire hair shaft on hair microscopy
strongly proposes chediak higashi syndrome. Detection of a pathogenic variant
in the lyst/chs1 gene acts as a confirmatory marker for chediak higashi
syndrome5. Allogeneic hematopoietic
stem cell transplantation (hsct) is the treatment of choice. Based upon the
scarcity of this disease, the discrete clinical and hematological picture, and
a meager survival rate, we report a case of chediak higashi syndrome that was
treated successfully via hematopoietic stem cell transplantation.
Case presentation
The
patient was a 3-year-old female who presented with abdominal pain and
distention for 2 months along with 8-month history of recurring fever,
occasional epistaxis, and progressive pallor.
There
was a prior history of recurrent respiratory infections 5 times since birth
settled for the time being with antibiotics. She is the second child from a
consanguineous marriage with no family history of the disease.
Upon
examination, the patient was febrile, had golden grey hair and hypopigmented
skin (table 1). The patient had a
distended abdomen with moderate hepatosplenomegaly (figure 1).

Figure 1: photograph of our patient showing golden grey hair
and hypopigmented skin.
Table 1:
laboratory investgations of our patient
|
Parameters
|
Results
|
Reference
values
|
|
Haemoglobin
|
7.9g/dl
|
4-11g/dl
|
|
Platelets
|
20 × 109/l
|
150-400 × 109/l
|
|
Esr
|
19mm/hr
|
<15mm/hr
|
|
Serum triglycerides
|
3.33mmol/l
|
1.7mmol/l
|
|
Serum fibrinogen
|
80mg/dl
|
200-400mg/dl
|
|
Serum ferritin
|
579ng/ml
|
7-140ng/ml
|
Serum ldh,
b12, folate levels, liver and renal function tests were all normal. Blood and
urine cultures along with epstein bar virus and cytomegalovirus serology were
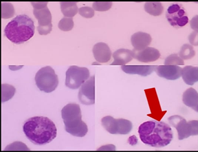
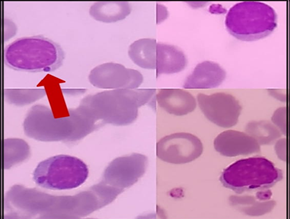
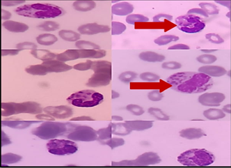
also negative. Abdominal ultrasound confirmed hepatosplenomegaly. Peripheral
blood smear confirmed bicytopenia with giant azurophilic granules in
neutrophils and lymphocytes (figure
2a,2b,2c).
(2a) (2b) (2c)
Figure 2: the giant azurophilic granules
in white blood cells (red arrows)
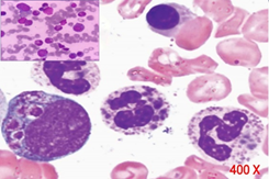
Bone marrow
examination showed hypercellular fragments and giant cytoplasmic granules in
all myeloid lineage. (figure 3).
figure 3: hypercellular
fragments with cytoplasmic granules in all myeloid lineage
Microscopic
examination of the hair shaft demonstrated the classical pattern of disease in
the form of regularly distributed deposits of clumped melanin granules. (figure 4).
figure
4: a light microscope examination of hair shows abnormal clumps of melanin
Furthermore, luckily the diagnosis was
supported further by homozygous mutation in lyst gene upon molecular analysis (table 2).
table 2: diagnostic criteria for hlh (accelerated
phase of chediak higashi syndrome)
|
Criteria for accelerated phase
( hlh )
|
Patient findings
|
|
1. Fever
|
Fever ( 101f )
|
|
2. Splenomegaly
|
Splenomegaly
|
|
3. Bi / pancytopenia in the
peripheral film
Hb<9.0g/dl
Platelets<100× 109/l
Neutrophils<1×109/l
|
Hb: 7.6 g/dl
Platelets: 20×109/l
|
|
4. Hypertriglyceridemia >
3mmol/l
Hypofibrinogenemia <1.5g/l
|
Triglycerides : 3.33mmol/l
Fibrinogen: 0.8g/l
|
|
5. Ferritin > 500ng/ml
|
Ferritin : 579ng/ml
|
|
6. Hemophagocytosis
|
|
|
7. Loss of nk cell activity
|
Absent nk cell activity
(recurrent infection)
|
|
8. Sil-2r>2400u/ml
|
|
Therefore,the
patient was started on broad-spectrum antibiotics along with dexamethasone and
cyclosporine. Later on, patient was refered to the bone marrow center where a
successful hematopoeitic stem cell transplant was done upon remission of the
accelerated phase.
After 6
months of transplant, the girl is being followed up by a multidisciplinary team
and is doing well so far. Immunological
and hematological defects have resolved with absence of any neurological
manifestation.
Discussion
Beguez-cesar
was the first physician to describe chediak higashi syndrome in 1943, followed
by chediak and higashi who described the maldistribution of myeloperoxidases in
the neutrophilic granules of affected patients6. The mean
age of onset is 6 years; however, most patients die before the age of 107.
The lyst or
chs 1 gene located on the long arm of chromosome 1(lq42-43) is associated with
the development of chediak higashi syndrome. This gene is involved in the
lysosomal trafficking transport of cytoplasmic granules. The 40 mutations
consisting of nonsense, missense with deletion, and insertion4 disrupt protein synthesis, secretory
functions, and storage of lymphocytic granules (figure 5)8.
figure 5: an image showing pathophysiology of chediak higashi syndome9.
Figure obtained from: sharma
p, nicoli er, serra-vinardell j, morimoto m, toro c, malicdan mc, introne wj.
Chediak-higashi syndrome: a review of the past, present, and future. Drug
discovery today: disease models. 2020 jun 1;31:31-6.
Clinically this syndrome is identified by silvery grey
hair, hypopigmented skin, bleeding diathesis, and recurrent respiratory and
gastrointestinal infections10, most
commonly due to staphylococcus aureus and beta-hemolytic streptococcus11.
The majority of the patients likewise go through an
“accelerated phase,” characterized by lymphohistiocytic infiltration of
multiple organs precipitated particularly by epstein-barr virus (ebv) resulting
in the development of anemia, bleeding tendency, hepatosplenomegaly, and
life-threatening infections.
The presence of peroxidase-positive cytoplasmic
granules mainly in neutrophils is the hallmark of chediak higashi syndrome3. Other differentials include the griscelli
syndrome, hermansky pudlak syndrome, and elejalde syndrome.
The patients presenting in the accelerated
phase must be brought into remission by using combination therapy consisting of
dexamethasone, cyclosporine, and etoposide (according to hlh 2004 protocol),
before performing the definitive treatment of hematopoietic stem cell
transplantation2. Though this treatment cures the hematologic
and immunologic defects, but this therapy does not prevent the progressive
neurological deficit frequently observed during long-term follow-up5.
Conclusion
Chediak
higashi syndrome is a unique disease with a diverse spectrum of clinical
presentation and investigations. The pattern that we saw throughout the
literature on this syndrome is a high mortality rate due to late diagnosis of
this condition. So, we wanted to add on a survival story of a now four-year-old
child from a developing country living a healthy, happy life due to prompt
diagnosis and management. We hope this case of ours serves as a ray of hope for
all those out there who have chediak higashi syndrome.
Patient consent
Consent was taken from the father of the patient for this case report.
References
1. kaplan j, de domenico i,
ward dm. Chediak-higashi syndrome. Current opinion in hematology
2008;15(1):22-29.
2. gopaal n, sharma jn,
agrawal v, lora ss, jadoun ls. Chediak-higashi syndrome with epstein-barr virus
triggered hemophagocytic lymphohistiocytosis: a case report. Cureus
2020;12(11):e11467.
3. shiflett sl, kaplan j,
ward dm. Chediak-higashi syndrome: a rare disorder of lysosomes and
lysosome-related organelles. Pigment cell res 2002;15(4):251-257.
4. bouatay a, hizem s, tej
a, moatamri w, boughamoura l, kortas m. Chediak-higashi syndrome presented as
accelerated phase: case report and review of the literature. Ind j hematol
blood transfus. 2014;30:223-226.
5. chandrakasan s,
filipovich ah. Hemophagocytic lymphohistiocytosis: advances in pathophysiology,
diagnosis, and treatment. J pediatrics 2013;163(5):1253-1259.
6. maaloul i, talmoudi j,
chabchoub i, et al. Chediak-higashi syndrome presenting in accelerated phase: a
case report and literature review. Hematology/oncology and stem cell therapy.
2016;9(2):71-75.
7. Imran t, zafar l, rehan
m, nasir a, tariq pa, batool i. Chediak-higashi syndrome presenting in
accelerated phase. J coll physicians surg pak 2012;22(8):539-541.
8. bowman sl, bi‐karchin j, le l, marks ms. The road to lysosome‐related organelles: insights from hermansky‐pudlak syndrome and other rare diseases. Traffic 2019;20(6):404-435.
9. sharma p, nicoli er,
serra-vinardell j, et al. Chediak-higashi syndrome: a review of the past,
present, and future. Drug discov today dis models 2020;31:31-36.
10. patne sc, kumar s, bagri
nk, kumar a, shukla j. Chediak-higashi syndrome: a case report. Indian j
hematol blood transfus 2013;29(2):80-83.
11. introne w, boissy re, gahl
wa. Clinical, molecular, and cell biological aspects of chediak-higashi
syndrome. Mol genet metab 1999;68(2):283-303.