Case Report
Anaplastic Thyroid Carcinoma with Retained TTF-1 Expression
Authors: Kayla Martinez*, Kareem Elewa, Tejas Patel, Cameron Dowlatshahi
Publication Date: 22 September, 2023
DOI:
https://doi.org/10.51219/MCCRJ/Kayla-Martinez/24
Citation:
Martinez K, Elewa K, Patel T, Dowlatshahi C. Anaplastic Thyroid Carcinoma with Retained TTF-1 Expression. Medi Clin Case Rep J 2023;1(2):87-89.
Copyright:© 2023 Martinez K., et al. This is an open-access article published in Medi Clin Case Rep J (MCCRJ) and distributed under the terms of the Creative Commons Attribution License, which permits unrestricted use, distribution, and reproduction in any medium, provided the original author and source are credited.
View : PDF
Abstract
Anaplastic
thyroid carcinoma (ATC) is a rare, highly aggressive malignant neoplasm,
accounting for only 2-3% of all thyroid gland tumors. We present a 78 year-old
female with a past medical history of papillary thyroid carcinoma, diagnosed in
2011. She received a total thyroidectomy and post-operative radioactive iodine
with ablation of remnant right-sided thyroid tissue. In June 2023, she
presented to the emergency department for right-sided neck pain and painful
swallowing. She also reported an unintentional weight loss of 25 lbs. Upon
physical examination, an immobile right sided neck mass was appreciated between
the sternocleidomastoid and the head of the clavicle. Computerized tomography
(CT) demonstrated a new 2.8 cm mass to the right thyroid bed. Tissue
examination showed evidence of anaplastic thyroid carcinoma.
Immunohistochemical staining demonstrated TTF-1 positivity. The hallmark of ATC
on histopathology is a highly infiltrative neoplasm, with invasion to vascular
and adjacent tissues. In approximately 75% of cases, PAX8 is positive and TTF-1
markers are usually negative. Thyroid transcription factor-1 or TTF-1 has a
38kDa homeodomain containing transcription factor with 371 amino acids. TTF-1
is essential for thyroid morphogenesis and gene regulation and is believed to
play a crucial role in oncogenic and inhibitory activities in cancer
development. Pathological uses related to TTF-1 include serving as a tumor
marker for primary and metastatic thyroid cancers. However, in ATC, TTF-1
expression is usually completely lost. Our objective is to clarify this
distinctive presentation of a rare neoplasm, fostering enhanced management and
advocacy for patients affected by this malignancy.
Keywords: Anaplastic
thyroid carcinoma; Thyroid transcription factor; Computerized tomography
Introduction
Anaplastic thyroid carcinoma (ATC)
accounts for approximately 1.3 to 9.8% of all thyroid cancers globally. The
age-adjusted annual incidence of ATC is 1 to 2 cases per 1 million. At
diagnosis, patients are usually older than 65 years of age, with 60-70% of
cases affecting female patients1.
Unlike follicular thyroid carcinoma which is the most common thyroid malignancy
and holds the best overall prognosis, ATC has an extremely guarded prognosis2. In some cases, ATC can arise as a result of
anaplastic transformation of differentiated papillary, follicular, or Hurthle
cell thyroid carcinoma3. We present a
78-year-old female with anaplastic thyroid carcinoma with retained TTF-1
expression.
Case presentation
This is a 78-year-old
female with a history of coronary artery disease (CAD), congestive heart failure (CHF), diabetes mellitus
type 2 (DMII), hypertension (HTN), myocardial infarction (MI) and deep venous thrombosis (DVT). Her medications include
Eliquis, Plavix, and nonsteroidal
anti-inflammatory drugs (NSAID) as needed. Past medical history includes papillary
thyroid carcinoma in 2011,
for which she received a total thyroidectomy and post-operative
radioactive iodine with ablation of remnant right-sided thyroid tissue. In
2014, a follow up 1-131 scan demonstrated that this thyroid
remnant was successfully ablated. Surgical history includes a coronary artery stent
placement, left knee arthroplasty, bilateral hip arthroplasty, thyroidectomy, transverse colon resection, and
salivary gland extension. Family history
includes breast cancer in her sister diagnosed in the 5th decade of life. She
is a former smoker, quitting over 20 years ago, she does not
drink alcohol or use illicit drugs.
In October
2022, she noticed a suspicious lump to the midline of the neck. At this time, she received a computerized tomography
(CT) of the neck, which demonstrated a 1.8 cm mass in the left anterior lower neck. In March 2023, she was seen by
ENT, biopsies of this mass were performed
and demonstrated papillary thyroid carcinoma.In May 2023, she received a
transverse colon resection
for a tubulovillous adenoma and incisional hernia repair; her postoperative course was uncomplicated.
Table 1. Patient’s Abnormal Lab Values;
All other laboratory tests were within
normal limits.
|
Lab Ordered:
|
Patient’s Value:
|
Reference Value:
|
|
Potassium
|
3.2 mmol/L
|
3.5-5.3 mmol/L
|
|
Free T4
|
1.62 ng/dL
|
0.8 - 1.8 ng/dL
|
|
TSH
|
0.375 mclU/mL
|
0.45 - 5.33 mclU/mL
|
|
Hemoglobin
|
10.6 g/dL
|
12.0 - 16.0 g/dL
|
|
Hematocrit
|
33.5%
|
35.0 - 46.0%
|
|
Platelets
|
49.2%
|
12.0 - 15.0%
|
|
Eosinophils Relative
|
10.8 cells/mcL
|
30 - 350 cells/mcL
|
|
Eosinophils Absolute
|
.80 K/mcL
|
0.00-0.50 K/mcL
|
|
Magnesium
|
1.6 mg/dL
|
1.7 - 2.5 mg/dL
|
In
June 2023 she presented to the emergency department (ED) for right-sided neck
pain radiating to the left shoulder
and headache. She also reported an unintentional weight loss of 25 lbs and painful swallowing. Upon physical
examination, an immobile right sided neck mass was appreciated between the sternocleidomastoid muscle and the head
of the clavicle. Abnormal laboratory results at this time are demonstrated in (Table 1). At this time, CT of the neck demonstrated
a new 2.8 cm mass to the right thyroid bed with inflammatory changes. Core needle biopsies were taken for
histopathological examination. Pathology reviewed the specimen, determining that anaplastic thyroid
carcinoma was present. Invasive carcinoma with marked cytologic atypia with squamoid features were noted, as
demonstrated in (Figure 1). In
comparison to the prior tissue exam
in March 2023, this specimen did not have well differentiated characteristics or have features of
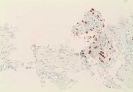
papillary thyroid carcinoma. Immunohistochemical staining was also performed and demonstrated TTF-1
and PAX-8 positivity; (Figure 2)
demonstrates IHC results. Our patient
was seen by hematology-oncology after surgical resection was determined not appropriate. She was placed on Taxol in combination with radiotherapy.

Figure 1. Anaplastic Thyroid Carcinoma, High Power
Figure 2. Immunohistochemical Stain,
TTF-1 Positivity
Discussion
Anaplastic thyroid
carcinoma, also referred to as undifferentiated thyroid carcinoma, typically occurs in elderly patients,
peaking around the seventh decade of life. This neoplasm rarely occurs in patients younger than 50 years old and has a
female predominance with a 4:1 female
to male ratio. The location of anaplastic thyroid carcinoma is in the thyroid
gland, often paired with its
extension into surrounding structures and tissues. Patients usually present
with a rapidly enlarging mass,
associated with dyspnea, dysphagia, and hoarseness4. Most anaplastic carcinomas occur from well-differentiated
thyroid carcinomas, most frequently from papillary and follicular
thyroid carcinoma3.
The hallmark
of ATC on histopathology is a highly
infiltrative neoplasm, with invasion to vascular
and adjacent tissues. Common histological features of ATC include three
distinct patterns: squamoid, spindle
cell, and giant cell. These patterns have been seen to coexist within the same tumor. This neoplasm typically
does not show lobular growth patterns, nor lymphoepithelial
appearance. Marked nuclear pleomorphism, increased mitotic rates, and extensive tumor necrosis are usually
present. Such cellular changes are accompanied by infiltration of inflammatory cells, specifically neutrophils. In
the squamoid form of ATC, squamous
markers such as p40, p63, and CK5/6 are present. In approximately 75% of cases, PAX8 is positive, however TTF-1, thyroglobulin, c-kit, and CD5 markers are usually negative.
Treatment for ATC includes
complete surgical resection, paired with adjuvant
radiotherapy and chemotherapy. The prognosis for this
condition is extremely poor and fatality is usually related to airway
obstruction or widespread metastases4.
Thyroid transcription factor-1 or TTF-1, also referred
to as NKX2-1 and thyroid
specific enhancer binding
protein. TTF-1 has 38kDa homeodomain containing transcription factor with 371 amino acids. It is encoded by a gene
located on chromosome 14q13 and is a member of the NKX2 gene family. It is expressed in thyroid, lung, and brain
tissues and is associated with structures
from diencephalic origin. TTF-1 is essential for thyroid morphogenesis and gene regulation and is believed to play a
crucial role in oncogenic and inhibitory activities in cancer development and progression. Pathological
uses related to TTF-1 include serving as a tumor marker for primary and metastatic thyroid cancers. However, in
ATC, TTF-1 expression is usually
completely lost. TTF-1 stains are usually positive in papillary, follicular and
medullary thyroid carcinomas, as well as follicular
adenomas5.
Treatment options for ATC usually include
surgery, radiotherapy, chemotherapy, and immunotherapy.
Typically for patients with localized ATC, surgical treatment is appropriate. However, given the rapid progressive
nature of this malignancy, radiotherapy and systemic therapy are also recommended after any surgical interventions6. Patients with ATC without targeted gene mutations, chemoradiotherapy
is recommended; combinations usually include
paclitaxel, doxorubicin, or combined regimens7. Recent studies have shown promising results when treating ATC with combined
radiotherapy and immunotherapy. Since PDL1 expression in tumor cells has been shown to increase
after radiotherapy, immunotherapy can be used to combat
radiation resistance. With the release of immune stimulators after
radiation, the tumor can become
immunogenic, leading to enhancement of the effects of immunotherapy. One
example of this synergistic antitumor effect with these therapies is pembrolizumab8.
Conclusion
Anaplastic thyroid
carcinoma is a rare, highly aggressive malignant neoplasm, accounting for only 2-3% of all thyroid gland tumors. ATC carries an extremely poor prognosis, with marked invasion and early metastasis to
distant sites9. We present a 78 year-old female with anaplastic thyroid carcinoma, and a prior history of follicular
thyroid carcinoma, post total thyroidectomy.
While ATC is derived from thyroid follicular cells, this neoplasm is typically devoid of normal thyroid tissue and is
referred to as undifferentiated thyroid carcinoma. The transition of normal thyroid tissue to undifferentiated thyroid
carcinoma is believed to be linked to
increased mutation burdens. Keeping the patient’s goals of care in mind, a
multimodal therapy approach should be considered once a diagnosis of ATC is made. Therapeutic approaches to ATC are
usually based heavily on the stage of disease and include surgery, radiation,
and systemic therapy10.
Conflicts of interest
We do not have any conflict of interest.
References