6360abefb0d6371309cc9857
Abstract
We describe 67 years old male patient presenting with
acute coronary syndrome (acute inferior ST elevation) with complete heart
block. primary percutaneous coronary intervention decided with temporary
pacemaker insertion. In view thrombus burden lesion in proximal right coronary
artery. we did thrombus aspiration by using thrombus aspiration catheter).
After successfully aspirating thrombus, resistance felt on withdrawal of the
aspiration catheter. Tip of the thrombus aspiration catheter was broken and retained
in the guide wire at the level of proximal right coronary artery. The broken
tip of thrombus aspiration catheter was successfully retrieved percutaneously.
Keywords: Coronary Syndrome; ST elevation; Catheter
Introduction
In
ST elevation myocardial infraction (STEMI), percutaneous coronary intervention
is superior to thrombolysis in terms of in-hospital mortality, re infarction
and stroke1. Coronary
atherosclerotic plaque rupture with thrombus formation being the basic
pathophysiologic phenomenon in acute myocardial infarction, prevalence of
thrombus is very much commonly seen in STEMI compare to non-ST elevation
myocardial infarction (NSTEMI)2.
Thrombus
aspiration in patients with high thrombus burden can decrease thrombus burden,
lower rates of distal embolization, improve thrombolysis in myocardial
infarction- 3 flow, reduce the incidence of no reflow, improve microvascular
perfusion and consequently improve clinical outcomes. However, >2 dozen
randomized trials have compared the outcomes of routine thrombus aspiration
with primary percutaneous coronary intervention (PCI) alone in patients with
ST- segment– elevation myocardial infarction (STEMI) and have not shown a
consistent reduction in cardiovascular outcomes. As such, routine thrombus
aspiration during primary PCI is not recommended by guideline committees (class
III, 2021 American College of Cardiology/American Heart Association guidelines
or 2017 European Society of Cardiology guidelines)3,4.
Case Report
Male
patient aged 67 years old with history of diabetes Mellitus type II (DM),
presented to emergency department of private hospital with central chest pain
increase in intensity 3 hours before arrival with history of sweating and
nausea. ECG done on arrival (Figure 1).

Figure
1:
ECG at presentation of the patient in ER in private hospital
The
patient was subsequently admitted to the intensive care unit (ICU). On arrival,
vital signs were as follows: blood pressure 90/60 mmHg, heart rate 60 beats/min
and temperature 37 °C. Physical examination revealed no pallor or jaundice, no
lower-limb edema and intact peripheral pulses. Abdominal examination showed no
organomegaly. Chest examination was unremarkable with normal breath sounds.
Cardiac examination demonstrated normal first and second heart sounds with no
added sounds or murmurs.
Because
the patient’s chest pain had decreased in intensity, thrombolytic therapy was
unfortunately not administered. In addition, the admitting hospital lacked
percutaneous coronary intervention (PCI) capability. Consequently, conservative
management was initiated, including antiplatelet therapy, anticoagulation and
statin therapy. The patient remained in the ICU for one day.
On the following day, the patient developed dizziness and recurrent episodes of shortness of breath. He requested expert consultation and was transferred to Nabdh Al-Hayat Cardiac Center (NCC) in Mukalla for further evaluation and management.
At NCC, reassessment revealed significant hemodynamic deterioration. Vital signs were as follows: blood pressure 80/50 mmHg, heart rate 40 beats/min and temperature 37°C. Electrocardiography was performed (Figure 2). Bedside transthoracic echocardiography demonstrated normal left-sided cardiac structure with preserved left ventricular systolic function, no resting regional wall-motion abnormalities and no mitral regurgitation. No mechanical complications were identified, including ventricular septal rupture, free-wall rupture or papillary muscle dysfunction. However, the right ventricle was dilated with global hypokinesia.

Figure
2:
ECG of the patient at presentation to NCC
Primary
percutaneous coronary intervention (PCI) was decided and the catheterization
laboratory team was immediately activated. A trans-femoral venous approach was
used for temporary pacemaker insertion, which was successfully established at a
fixed rate of 60 beats/min. An initial attempt at right radial artery puncture
for coronary angiography was unsuccessful; therefore, crossover to the right
femoral artery was performed.
Coronary
angiography was carried out using a 6-Fr diagnostic left Judkins catheter,
which revealed an atherosclerotic left coronary system. A right Judkins guiding
catheter was then used to cannulate the right coronary artery (RCA),
demonstrating total occlusion of the proximal RCA with a high thrombus burden.
The occluded segment was successfully crossed with a 0.014-inch BMW PTCA floppy
guidewire. Limited thrombus aspiration was achieved after five passes using a
6-Fr Export aspiration catheter (Medtronic), as shown in (Figure 3).
Control angiography of the RCA after thrombus aspiration demonstrated TIMI I
flow. Subsequently, a 1.25 × 10 mm Sprinter balloon (Medtronic Inc.) was
advanced over the guidewire for balloon predilatation. Upon reaching the
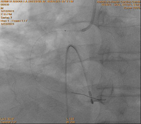
proximal RCA, three radiopaque markers were visualized instead of the expected
two (Figure 4). This immediately raised suspicion of device fracture.
Careful inspection of the Export catheter, which had just been withdrawn from
the guiding catheter and was lying on the table, confirmed loss of its distal
tip. This represented a precarious situation, with a thrombogenic broken
catheter fragment retained within a thrombus-laden coronary artery and loss of
operator control over the fragment.
Given
the very short distance between the distal balloon marker and the third
radiopaque marker, it was inferred that only the distal tip of the Export
catheter had fractured (Figure 5). An attempt to advance a smaller 1.0 ×
10 mm Sprinter balloon distal to the retained fragment over the original
guidewire was unsuccessful. Therefore, a second BMW PTCA guidewire was advanced
into the distal RCA. A 2.0 × 12 mm Sprinter PTCA balloon was then advanced and
positioned distal to the fractured catheter tip. The balloon was inflated to 8
atm and gently withdrawn from the mid to proximal RCA, successfully entrapping
and retrieving the broken Export catheter tip into the guiding catheter.
The
entire system, including the guiding catheter, both BMW PTCA guidewires, the
balloon and the fractured aspiration catheter tip, was removed en bloc. The
guiding catheter was flushed with heparinized saline and the retrieved broken
catheter tip was clearly identified. The RCA was subsequently re-engaged using
a new JR 3.5 guiding catheter and a fresh BMW PTCA guidewire successfully
crossed the proximal RCA lesion. Predilatation was performed using a 2.0 × 12
mm Sprinter balloon, restoring TIMI III flow. A 3.0 × 30 mm drug-eluting stent
was then deployed in the proximal RCA and inflated to 14 atm. Final angiography
demonstrated TIMI III flow with good stent expansion and no evidence of edge
dissection (Figure 6).

Figure
3:
Thrombotic materials retrieved from RCA

Figure
4:
Knob is noticed of the broken tip of export catheter (aspiration catheter) in
proximal segment of RCA

Figure 5: Shaft of aspiration export catheter without tip
Discussion
The
incidence of broken or retained percutaneous coronary intervention (PCI)
hardware in earlier literature is approximately 0.2%5. Although significant refinement in device
design has occurred over the past decade, the increasing number and complexity
of percutaneous coronary procedures continue to be associated with occasional
intravascular hardware failure. Several reports have described successful
retrieval of fractured catheters, guidewires, balloons and both expanded and
unexpanded stents from the intracoronary circulation using various techniques5-7. Familiarity with these retrieval
methods is essential, as no single technique is universally effective in all
clinical scenarios.
Cagdas
Akgullu, et al.8 reported a case
of a trapped thrombus aspiration catheter in a coronary artery caused by
rupture of the main shaft and twisting over the guidewire; the device was
successfully removed by withdrawing the entire system. Other case reports have
described complications related to thrombus aspiration catheters, including
thrombus formation in the left main coronary artery and inadvertent coronary
endarterectomy using the Thrombuster III GR catheter9,10.
A
review of 48 case reports involving a total of 67 patients with guidewire
entrapment showed that 41.8% were managed by percutaneous extraction, 43.3%
required surgical intervention and 14.9% were treated conservatively. Various
percutaneous retrieval techniques have been described, including stenting the
fragment against the vessel wall, snare loop capture, double- or triple-wire
techniques, use of a bioptome, Tornus microcatheter, deep guide catheter
wedging with balloon inflation and pigtail catheter manipulation11.
In
a prior report assessing the prevalence and outcomes of fractured PCI hardware,
12 out of 5,400 percutaneous transluminal coronary angioplasty (PTCA)
procedures were complicated by retained components, including guidewire
fragments, balloon catheters and guide catheters12.
Follow-up of patients with retained guidewire fragments revealed no clinical
sequelae over a period ranging from 6 to 60 months, suggesting that management
decisions should be individualized. Not all cases of retained hardware necessitate
coronary artery bypass grafting (CABG), particularly when fragments are located
in chronically occluded or distal vessels12.
Additional reports have documented successful retrieval of an FFR wire tip
using an angiographic catheter (Slip-Cath) via the mother–child technique13, as well as balloon assisted extraction
of a fractured Export catheter14.
Retained
intracoronary hardware can act as a nidus for thrombus formation, potentially
leading to acute vessel occlusion, myocardial infarction, arrhythmias, coronary
perforation or embolic events15.
Therefore, removal of the fractured fragment is generally recommended. In our
patient, the presence of a thrombogenic milieu with thrombus formation proximal
to the broken catheter significantly increased the risk of further thrombus
propagation, making prompt retrieval of the fractured Export catheter tip imperative.
Potential
causes of retained PCI hardware include excessive torquing, forceful catheter
withdrawal, improper handling, device reuse, manufacturing defects, inadvertent
advancement of large-caliber catheters through smaller access sheaths, polymer
aging or a combination of these factors.
References
13. Prakash S, Mahla H, Bhairappa S, Somanna S, Manjunath C. Successful retrieval of fractured pressure wire tip (FFR) by hybrid technique. J Saudi Heart Assoc 2015;27:118-122.