6360abefb0d6371309cc9857
Abstract
Laryngeal papillomatosis is a benign tumor caused by the human
papillomavirus (HPV). Very few cases of spontaneous malignant transformation of
recurrent adult-onset laryngeal papillomatosis in non-irradiated patients have
been reported in the literature. Low-risk HPV types 6 and 11 are most commonly
associated with laryngeal papillomatosis; however, high-risk HPV types may also
be present. We report a case of invasive laryngeal carcinoma arising in
preexisting laryngeal papillomatosis in a 50-year-old adult who presented with
inspiratory dyspnea. Nasofibroscopy revealed an ulcerative tumor of the larynx
obstructing the laryngeal airway. A diagnosis of squamous cell carcinoma was
confirmed following a biopsy. The patient subsequently underwent total laryngectomy.
Case
report
It’s
about a 50-year-old man who has been followed since 2018 for laryngeal
papillomatosis, having undergone instrumental peeling in 2018 and 2023. The
evolution was marked by the onset of dyspnea, the patient was subsequently
tracheostomized in the emergency department. the nasofibroscopy showed an
ulcer-like tumor of the left vocal cord extending to the right vocal cord and
to the anterior and posterior commissure, with fixity of the left vocal cord
and arytenoid. The direct laryngoscopy, showed the presence of a budding ulcer
tumor on the left vocal cord extending to the anterior commissure and involving
the ventricular band and homolateral arytenoid with infiltration of the
subglottic level. The biopsy showed a moderately a moderately differentiated
invasive squamous cell carcinoma. The CT scan showed a tumor process centered
on the left vocal cord extending to the anterior commissure, with lysis of the
thyroid cartilage. The patient underwent total laryngectomy followed by
radiotherapy and chemotherapy (Figures 1 and 2).
Figure
1:
CT scan show a tumor process centered on the left vocal cord, extending to the
anterior commissure, with lysis of the thyroid cartilage
Figure
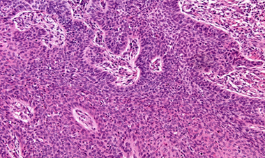
2:
Histological features of laryngeal squamous cell carcinoma at 10x Magnification
Discussion
Juvenile
laryngeal papillomatosis typically manifests as recurrent and multiple
papillomas that emerge in infancy or childhood and may spontaneously regress
during adolescence6. A similar form
of papillomatosis can also develop in adults, though it tends to be solitary,
less likely to recur after surgical removal and is associated with a reduced
risk of malignant transformation7. In
adults, the condition is usually characterized by isolated lesions, yet the
potential for malignancy remains a concern, especially in more aggressive cases8.
Malignant
transformation of juvenile laryngeal papillomatosis has been reported in only a
few cases without prior radiation therapy9.
The reported incidence of malignant transformation is about 2 to 3% of cases,
especially in the presence of known risk factors such as smoking and
irradiation10-12. However, a search
of the English literature reveals only a few documented cases. The diagnosis of
synchronous invasive carcinoma in the setting of papillomatosis is difficult to
make both clinically and pathologically4.
Findings consistent with carcinoma in situ do not carry the same severity in
patients with juvenile laryngeal papillomatosis unless there is a history of
irradiation. Although the juvenile form is often associated with florid
papillomatosis, malignant transformation remains rare unless the lesion has
been irradiated5,13. However, in
patients whose disease follows a more aggressive course, particularly those in
whom the condition persists into adulthood, the following signs are observed:
In adults, malignant transformation is a rare but critical event, as demonstrated in the present case, where an adult patient developed malignant transformation in the absence of known risk factors. The treatment of laryngeal papillomatosis remains symptomatic and as existing lesions are surgically removed, new lesions often arise de novo in adjacent sites or other areas of the larynx14. Various chemical treatments have been tried in conjunction with or independently of surgery to better control the disease. In addition to conventional treatments such as CO₂ laser vaporization and microsurgical excision, other modalities like microdebriders and antiviral therapies, including acyclovir, have been explored. Microdebriders offer a less invasive method for excising lesions, which can result in less tissue trauma and quicker recovery times compared to traditional surgery2,3,9,15. Acyclovir, an antiviral agent, has been tested for HPV-associated lesions with some success in reducing recurrences, though its effectiveness is still being evaluated.
This
case highlights the potential link between HPV infection as an initiating event
in the papilloma-to-carcinoma sequence, even in adult cases. Laryngeal
papilloma patients in Taiwan show a relatively high conversion rate to
malignancy1. Patients who initially
clear their HPV infection are at higher risk for developing laryngeal carcinoma
when subsequently infected with HPV, compared to patients with persistent
HPV-associated laryngeal papilloma’s.
Malignant transformation of recurrent respiratory papillomatosis is a rare occurrence, with about 40 cases reported in the literature. Among those for which HPV genotyping was performed, 100% demonstrated evidence of HPV-11 infection3. Furthermore, Reidy and colleagues have shown that HPV-11 genes can integrate into the host genome, a known mechanism underlying the malignant conversion of "high-risk" papillomavirus types, including HPV-16 and HPV-18. These authors suggest that patients with juvenile laryngeal papillomatosis and HPV-11, currently considered a "low-risk" virus, should be closely followed due to its more aggressive clinical course and emerging potential for malignant transformation16,17.
Conclusion
This case serves as an important reminder of
the potential for malignant transformation in juvenile laryngeal
papillomatosis, particularly in adult patients. It emphasizes the importance of
periodic biopsies, histopathological reviews and vigilant monitoring, as
malignant transformation can occur even in the absence of known risk factors
such as smoking and irradiation. Advances in treatment modalities, such as CO₂
laser vaporization, microdebriders and antiviral therapies like acyclovir, have
improved disease management. Additionally, vaccination with Avastin
(bevacizumab), which inhibits the growth of blood vessels supplying the tumor,
may offer a new approach in treating more aggressive forms and cases of
malignant transformation. Although its effectiveness is still under evaluation,
further research into this innovative treatment is crucial. Regular follow-ups
are essential for patients with juvenile laryngeal papillomatosis to ensure
early detection and prompt intervention in case of malignant development.
References
4.
Altmann F, Basek M, Stout
AP. Papillomas of the larynx with intraepithelial anaplastic changes. AMA Arch
Otolaryngol 1955;62(5):478‑485.
5.
Majoros M, Devine KD,
Parkhill EM. Malignant Transformation of Benign Laryngeal Papillomas in
Children After Radiation Therapy. Surg Clin North Am 1963;43:1049‑1061.
6.
Zawadzka-Głos
L, Chmielik M, Bielicka A. Laryngeal papillomatosis in children and their
surgical treatment 2002.
7.
Mizuno
Y, Okada R, Kirimura S, Yoshimura R, Asakage T. A Case of Malignant
Transformation of Recurrent Respiratory Papillomatosis That Was Effectively
Treated with Pembrolizumab. Case Rep Oncol 2024;17(1):734‑740.
8.
Margaret
S. Gensler B, Gnepp DR. Nonsquamous Pathologic Diseases of the Hypopharynx,
Larynx and Trachea. Laryngeal Papillomatosis 2011.
9. Grøn ALK, Schultz JH,
Abildgaard J. Malignant degeneration in laryngeal papillomatosis. Ugeskr Laeger
2011;173(7):506‑507.
10. Orphanidou D, Dimakou K,
Latsi P, Gaga M, Toumbis M, Rasidakis A, et al. Recurrent respiratory
papillomatosis with malignant transformation in a young adult. Respir Med 1996;90(1):53‑55.
11. Ribeiro El-Achkar VN, Duarte A, Pinto Saggioro F, et al. Squamous
Cell Carcinoma Originating from Adult Laryngeal Papillomatosis: Case Report and
Review of the Literature. Case Rep Otolaryngol 2018;2018:4362162.
12. Healy GB, Gelber RD,
Trowbridge AL, Grundfast KM, Ruben RJ, Price KN. Treatment of recurrent
respiratory papillomatosis with human leukocyte interferon. Results of a
multicenter randomized clinical trial. N Engl J Med 1988;319(7):401‑407.
13. Orita Y, Gion Y,
Tachibana T, Ikegami K, Marunaka H, Makihara S, et al. Laryngeal squamous cell
papilloma is highly associated with human papillomavirus. Jpn J Clin Oncol 2018;48(4):350‑355.
14. Ribeiro El-Achkar VN, Duarte A, Pinto Saggioro F, et al. Squamous
Cell Carcinoma Originating from Adult Laryngeal Papillomatosis: Case Report and
Review of the Literature. Case Rep Otolaryngol 2018;2018:4362162.
15. Sakakura A, Yamamoto Y,
Takasaki T, Makimoto K, Nakamura M, Takahashi H. Recurrent laryngeal
papillomatosis developing into laryngeal carcinoma with human papilloma virus
(HPV) type 18: a case report. J Laryngol Otol 1996;110(1):75‑77.
16. Reidy PM, Dedo HH, Rabah
R. Integration of human papillomavirus type 11 in recurrent respiratory
papilloma-associated cancer. Laryngoscope 2004;114(11):1906-1909.
17. Rabah R, Lancaster WD,
Thomas R, Gregoire L. Human papillomavirus-11-associated recurrent respiratory
papillomatosis is more aggressive than human papillomavirus-6-associated
disease. Pediatr Dev Pathol Off J Soc Pediatr Pathol Paediatr Pathol Soc 2001;4(1):68‑72.