6360abefb0d6371309cc9857
Abstract
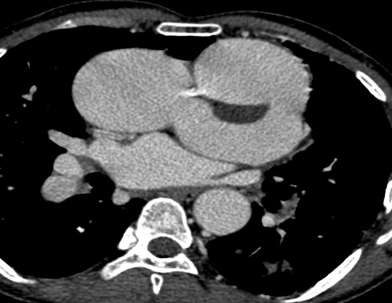
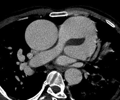
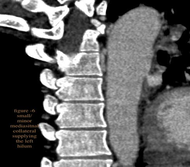
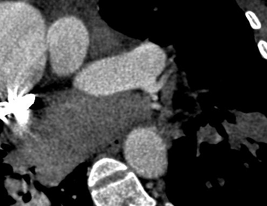
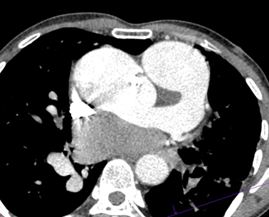
Persistent truncus arteriosus is an uncommon complex congenital heart disease. Without surgical intervention, the prognosis is not good. Very few untreated cases of truncus arteriosus survive to maturity. We report an exceptional case of uncorrected truncus arteriosus surviving into adulthood of type a3 variant -van praagh classification as a 26-year-old male who had well tolerated dyspnea since birth. Our patient showed a single(right) pulmonary artery arising from the common arterial trunk supplying the right lung and absent main and left pulmonary artery with collateral supply to the left lung consistent with the truncus arteriosus type a3-van praagh classification












References
1. hoffman jie, kaplan s. The incidence
of congenital heart disease. J am coll cardiol 2002;39(12):1890-900.
2. Baggen vjm, connelly
ms, roos-hesselink jw. Truncus arteriosus. In: diagnosis and management of
adult congenital heart disease 2018;421-428.
3. choudhary v,
biradar s, hirapur i, chanda s. A rare case of truncus arteriosus in the
elderly. Apik j intern med 2019;7:131.
4. talwar s,
meena a, ramakrishnan s, choudhary sk, airan b. Hemitruncus with ventricular
septal defect in a 6-year-old child. Ann pediatric cardio 2013;6(2):194-196.
5. van praagh r, van praagh s. The
anatomy of common aorticopulmonary trunk (truncus arteriosus communis) and its
embryologic implications. Am j cardiol 1965;16:406-425.
6. liu y, chen s, zühlke l, black gc,
choy m kit, li n, et al. Global birth prevalence of congenital heart defects
1970-2017: updated systematic review and meta-analysis of 260 studies. Int j
epidemiol 2019;48:455-1463.
7. collett rw, edwards je. Persistent
truncus arteriosus: a classification according to anatomic types. Surg clin
north am 1949;29(4):1245-1270.
8. dimopoulos k, diller gp, opotowsky
ar, d’alto m, gu h, giannakoulas g, et al. Definition and management of
segmental pulmonary hypertension. J am heart assoc 2018;7(14):008587.
9. Abhilash t, satheesan
p, kumar r. Clinical management of congenital heart disease from infancy to
adulthood. Ann pediatr cardiol 2015;8(1):93.
10. vijayakumar
v, muthuramalingam s, ganesamoorthi a. Truncus arteriosus - modified van
praagh’s type 3a and anesthesia: a case report. Ain-shams j anesthesiol
2020;12:11.
11. calder l, praagh rv, praagh sv, et
al. Clinical, angiocardiographic and pathologic findings in 100 patients. Am
heart j 1976;92(1):23-38.
12. abid d,
daoud e, koubaa s, et al. Unrepaired persistent truncus arteriosus in a
38-year-old woman with an uneventful pregnancy. Cardiovasc j afr 2015;26:68.